Reclaiming a Beautiful Smile with Invisalign
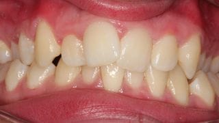
Introducing Sarah, a young adult who, in her teenage years, underwent orthodontic treatment to correct her crowded teeth. However, a decade later, Sarah noticed her teeth slowly relapsing, crowding once more.
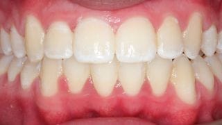
Determined to find a solution, she researched Invisalign in Newcastle. Embracing the discreet aligners at Windmill Orthodontics, Sarah embarked on a journey to restore her beautiful smile. The transparent and comfortable trays effectively realigned her teeth according to a computerised 3D plan.
In a matter of months, Sarah's smile was not only reinstated but was "better than ever". Invisalign played a pivotal role in reinstating her confidence and allowing her to smile radiantly once more.










The Impact of Straight Teeth on Overall Health
From Orthodontics to Wellness: The Broader Health Benefits of Straight Teeth

Replacement Retainers
Lost or damaged retainers? We've got you covered with replacement retainer options

Invisible Orthodontics: Exploring the Benefits of Clear Aligners
Exploring the Clear Path to Transforming Your Smile

Free video consultation
The easiest way to get started is by scheduling a free video consultation with one of our friendly Orthodontists.
Schedule online at a time that suits you.
