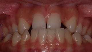
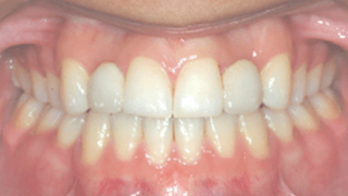
Nayana’s confidence builds with fixed braces.
Nayana came to us complaining of spacing within her upper arch. The spacing was due to her having fewer teeth (hypodontia) than ideal.
She did not feel confident about her smile and avoided smiling in photos. Treatment involved upper and lower fixed metal braces lasting around 18 months. The braces allowed Nayana to get some restorative dental work done following treatment to fill the spaces, subsequently enhancing her smile and confidence.










The Impact of Straight Teeth on Overall Health
From Orthodontics to Wellness: The Broader Health Benefits of Straight Teeth

Replacement Retainers
Lost or damaged retainers? We've got you covered with replacement retainer options

Invisible Orthodontics: Exploring the Benefits of Clear Aligners
Exploring the Clear Path to Transforming Your Smile

Free video consultation
The easiest way to get started is by scheduling a free video consultation with one of our friendly Orthodontists.
Schedule online at a time that suits you.