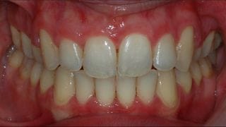
Gemma’s journey with braces in adulthood
Gemma missed the opportunity to get braces as a child, but always felt she wanted a better smile.
Deciding to take the step to achieve a better smile in adulthood, Gemma has never looked back! Treatment was undertaken with fixed braces and lasted around 12 months. Gemma and the team were thrilled with her results.
Before & After










The Impact of Straight Teeth on Overall Health
From Orthodontics to Wellness: The Broader Health Benefits of Straight Teeth
Oral-health

Replacement Retainers
Lost or damaged retainers? We've got you covered with replacement retainer options
Retainers

Invisible Orthodontics: Exploring the Benefits of Clear Aligners
Exploring the Clear Path to Transforming Your Smile
Invisalign

Free video consultation
The easiest way to get started is by scheduling a free video consultation with one of our friendly Orthodontists.
Schedule online at a time that suits you.