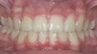
Ben's Orthodontic Transformation with Fixed Braces
Eligible for NHS braces, Ben was treated with a custom-fitted fixed brace. Over time, these braces gently reduced his overbite and aligned his incisors neatly.
Ben's orthodontic journey, marked by consistent orthodontic appointments and adherence to oral care guidelines, gradually transformed his smile. His newfound confidence was evident, as he smiled more freely.
Ben emerged with a confident smile, a testament to the positive impact of NHS-funded orthodontic treatment for teenagers. It offers the opportunity for optimal oral-health and enhanced self-assurance as they move into adulthood.










The Impact of Straight Teeth on Overall Health
From Orthodontics to Wellness: The Broader Health Benefits of Straight Teeth

Replacement Retainers
Lost or damaged retainers? We've got you covered with replacement retainer options

Invisible Orthodontics: Exploring the Benefits of Clear Aligners
Exploring the Clear Path to Transforming Your Smile

Free video consultation
The easiest way to get started is by scheduling a free video consultation with one of our friendly Orthodontists.
Schedule online at a time that suits you.
